CABINET D'ORTHODONTIE DU DR FRANÇOIS VERGEZ
ORTHODONTISTE À SAINT PAUL ILE DE LA RÉUNION
38 route de Savanna Bât A - N°10, 97460 Saint Paul - La Réunion
+262 262 22 55 50
CABINET D'ORTHODONTIE DU DR FRANÇOIS VERGEZ
ORTHODONTISTE À SAINT PAUL ILE DE LA RÉUNION

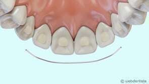
Fil de contention


video-play-icon

Articles similaires

Création par Webdentiste

Connexion